Book Appointment
About Us
Meet Your Doctor
Meet Your Doctor
Affiliation
Facilities
Specialties
Gallery
Academic
Case Gallery
Contact Us
Home
Gallery
Gallery
Academic
Case Gallery
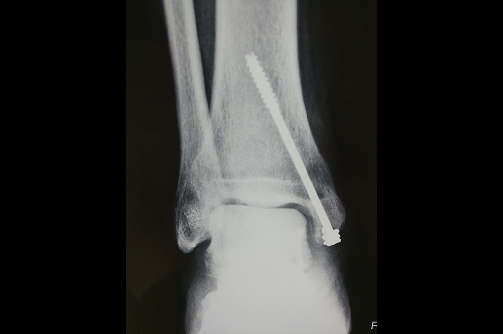
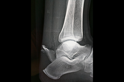
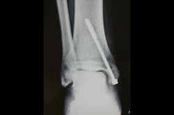
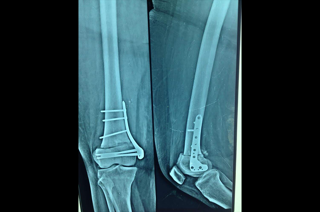
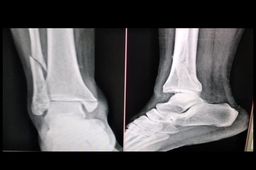
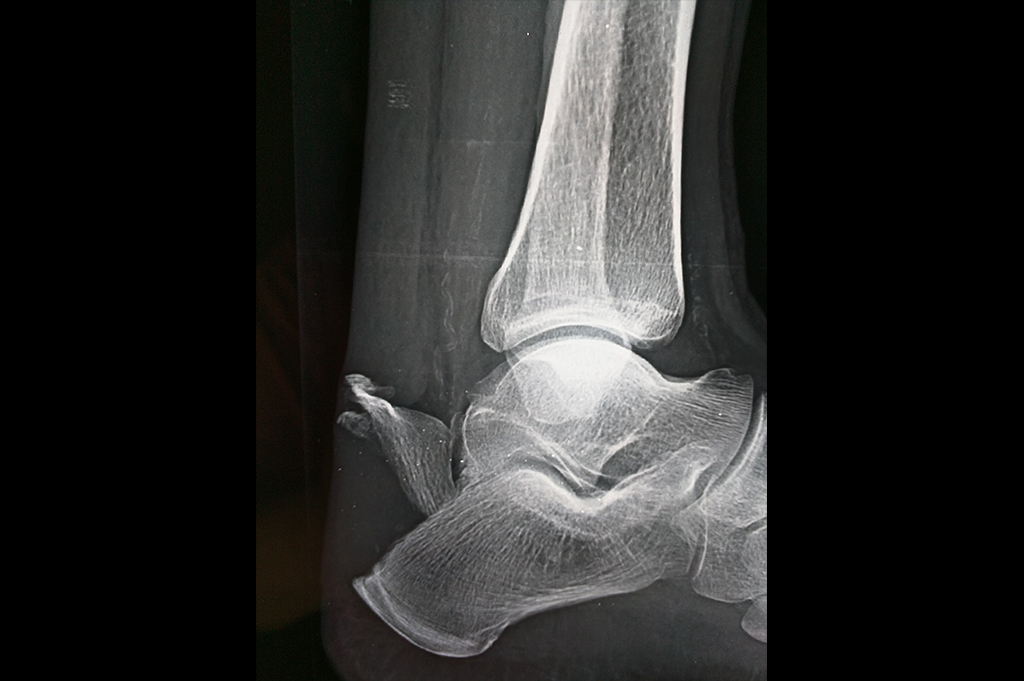
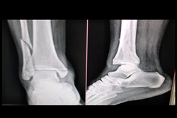
Ankle
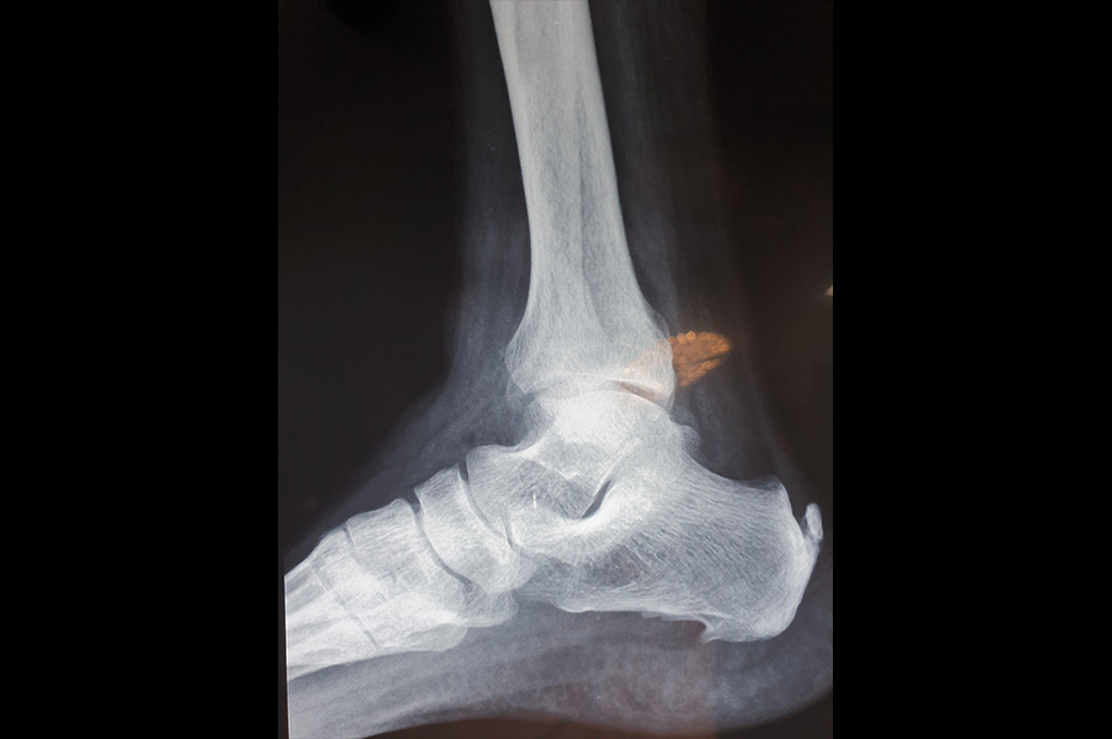
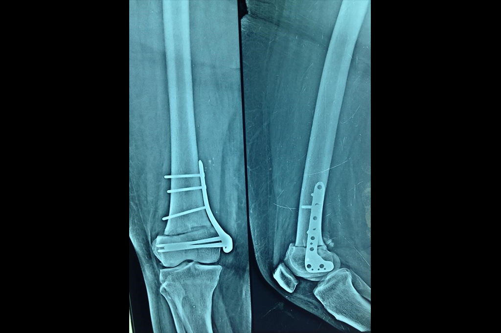
Calcaneum
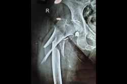
Clavicle
Distal Femur
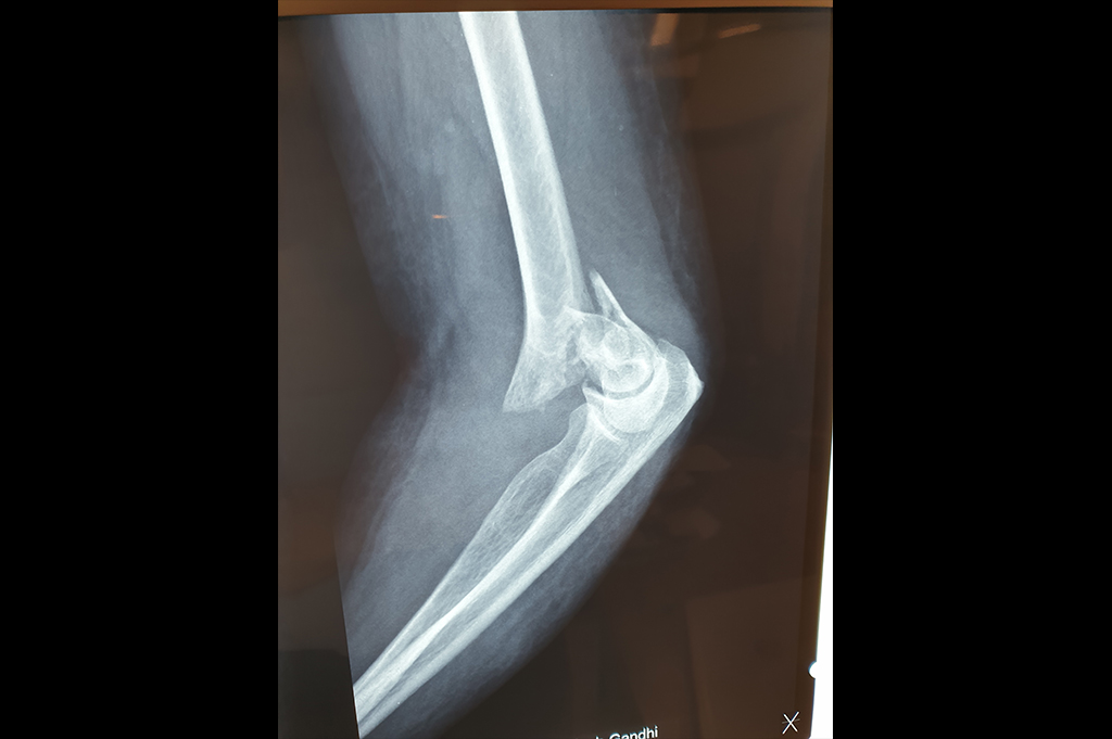
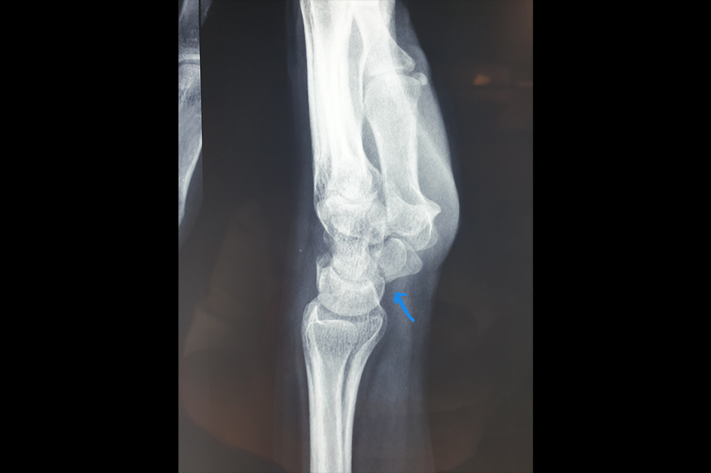
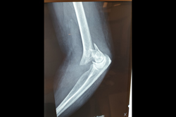
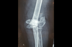
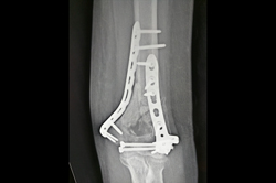
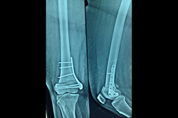
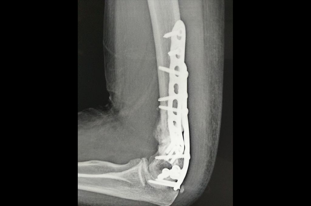
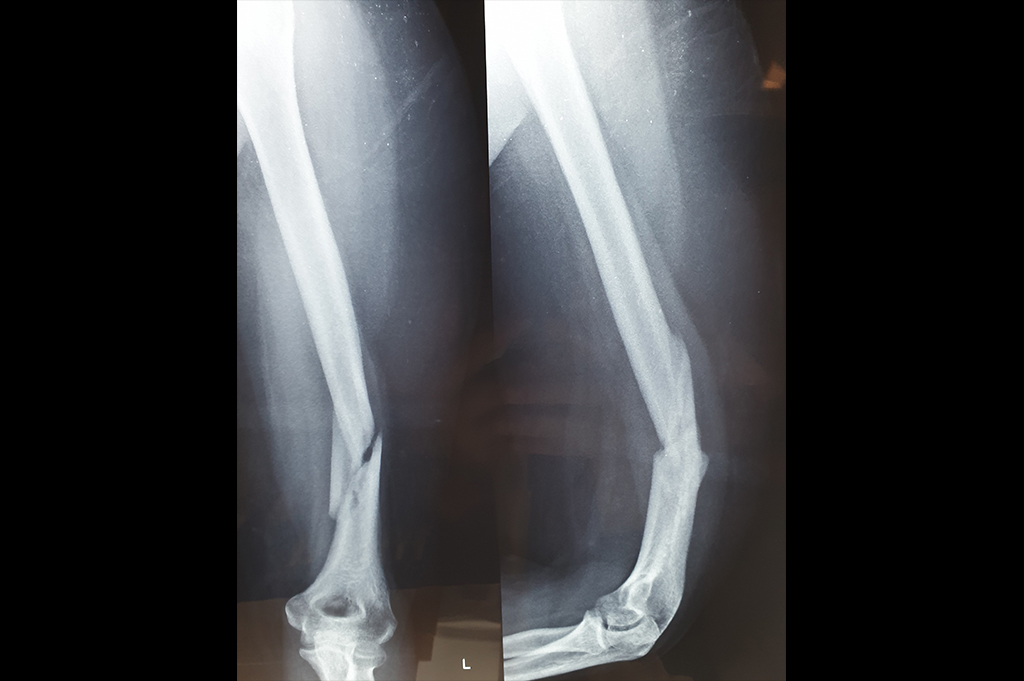
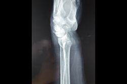
Elbow
Finger Tip injury
Osteoarthritis – High Tibial Osteotomy - HTO
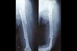
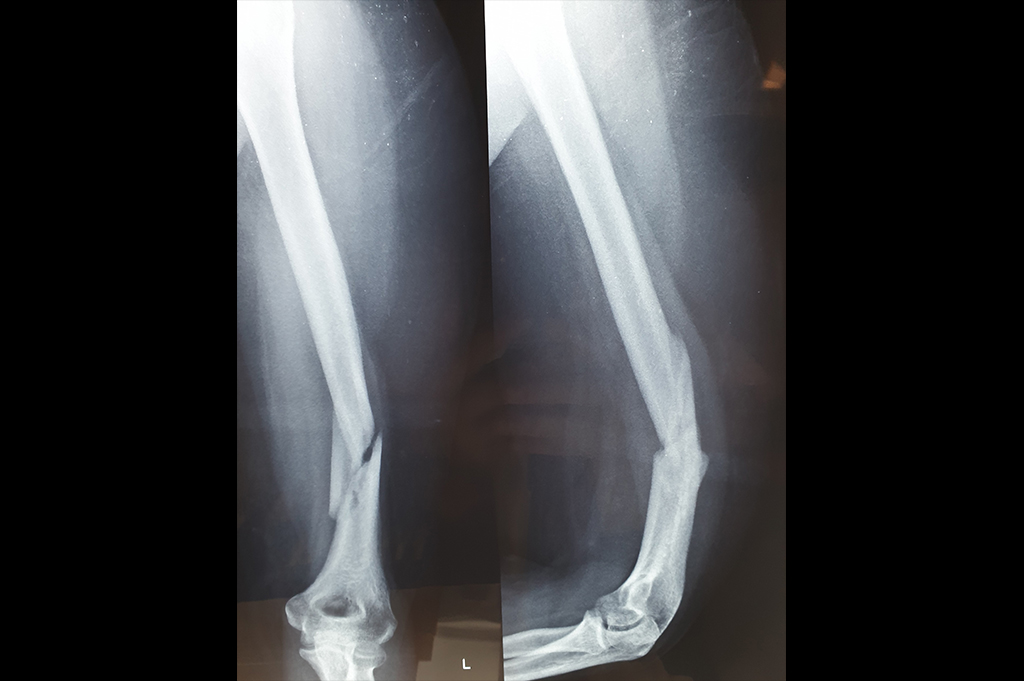
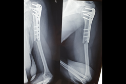
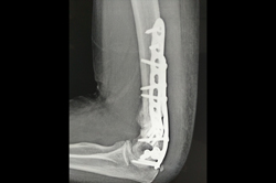
Humerus
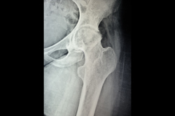
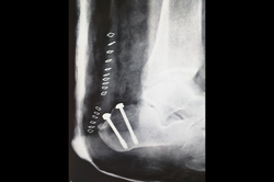
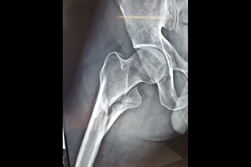
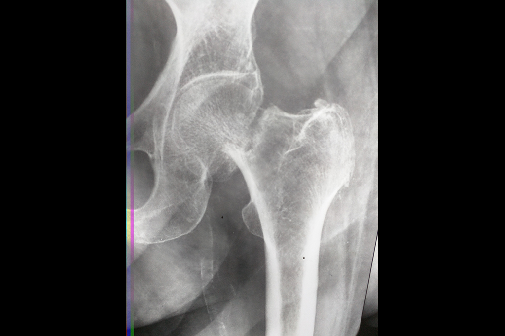
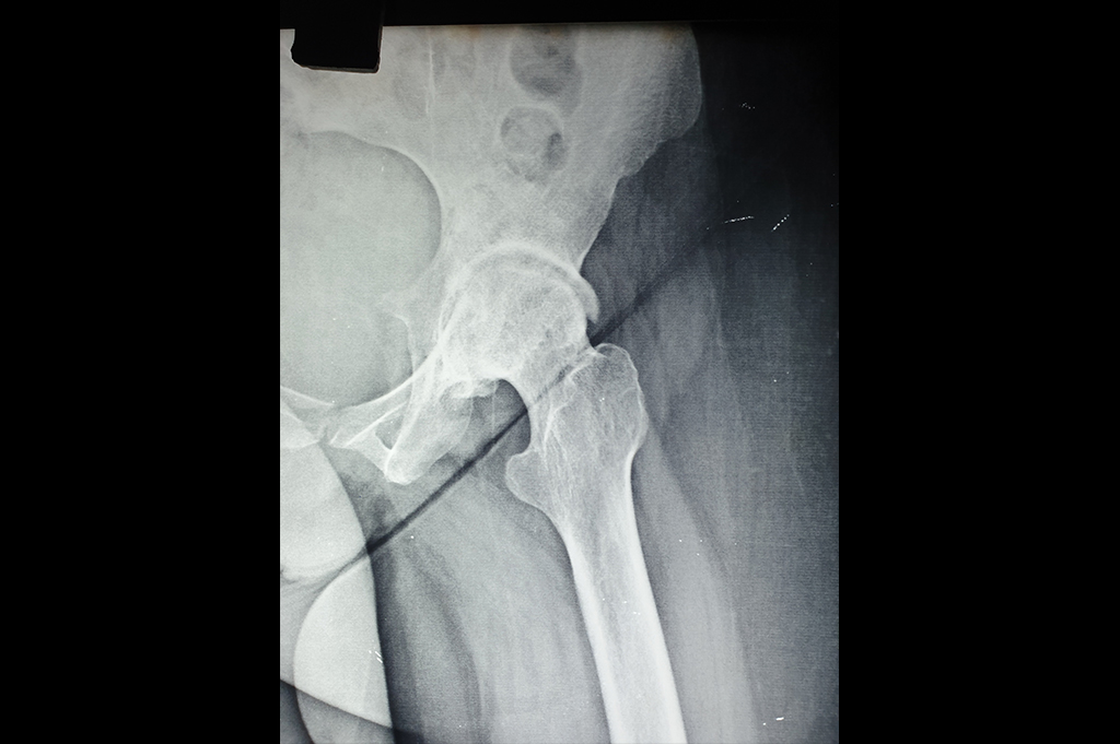
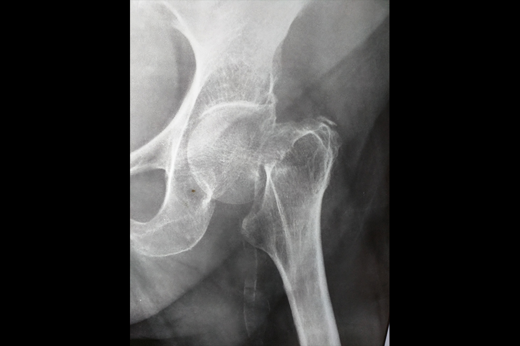
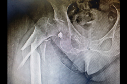
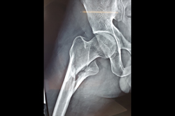
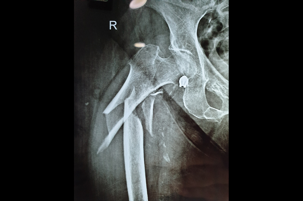
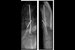
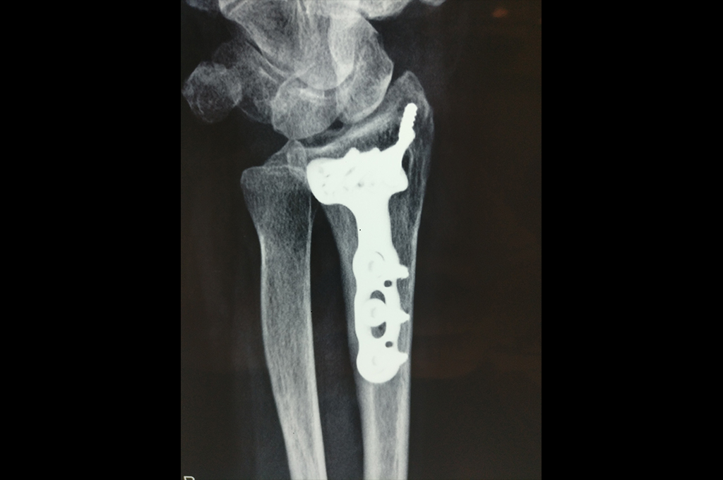
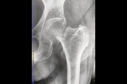
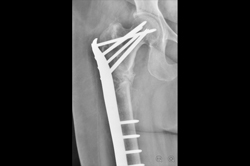
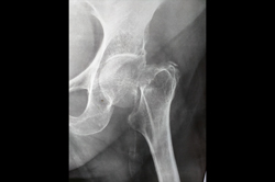
Intertrochanteric Fracture
Finger Tip Injury - JESS
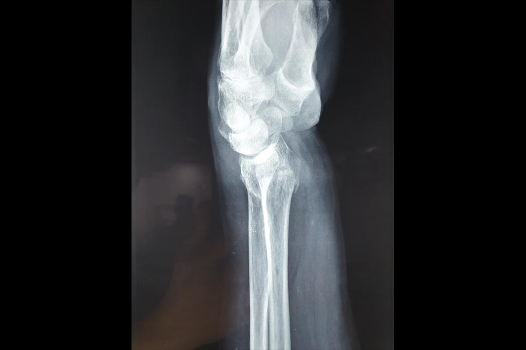
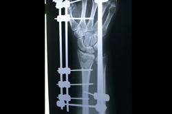
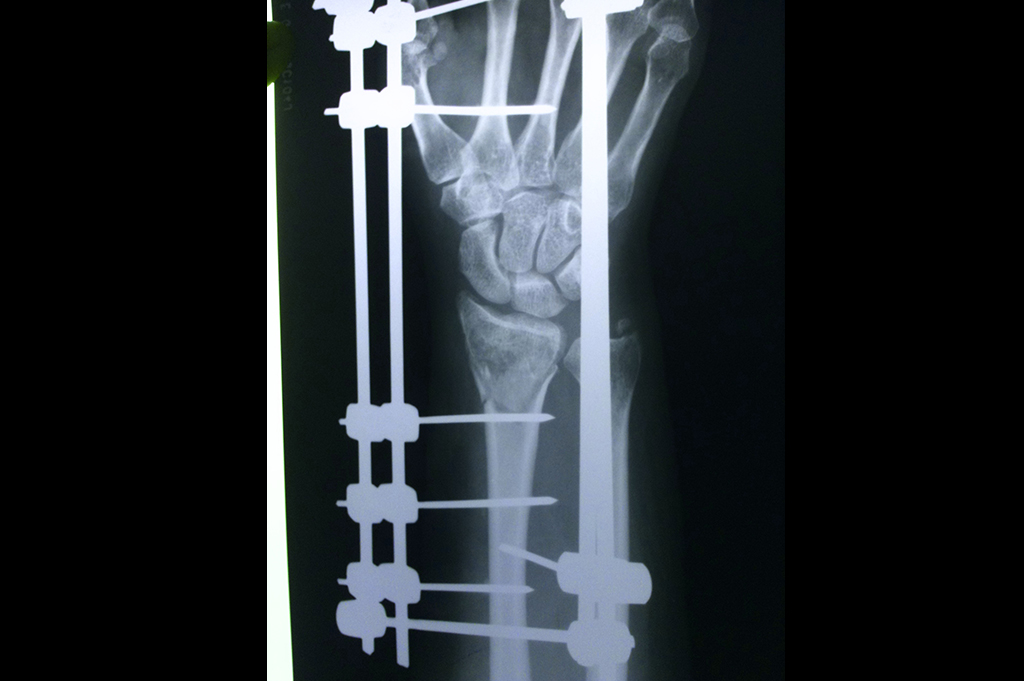
Lower Radius
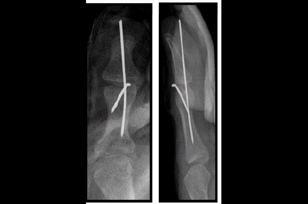
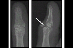
Mallet Finger
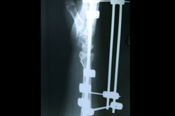
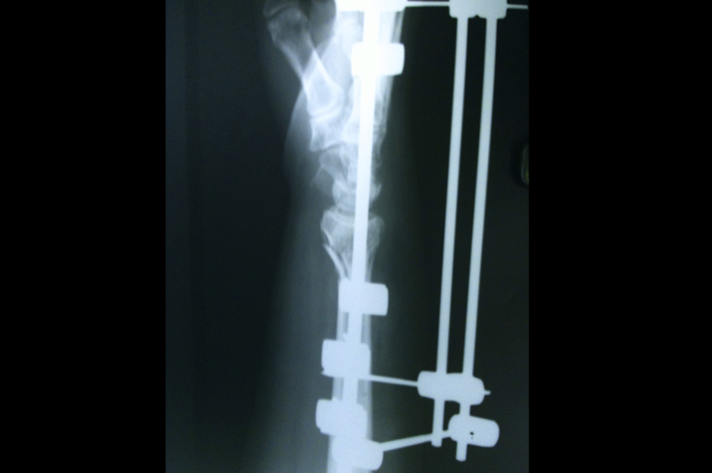
Metacarpal Fracture – External Fixator JESS
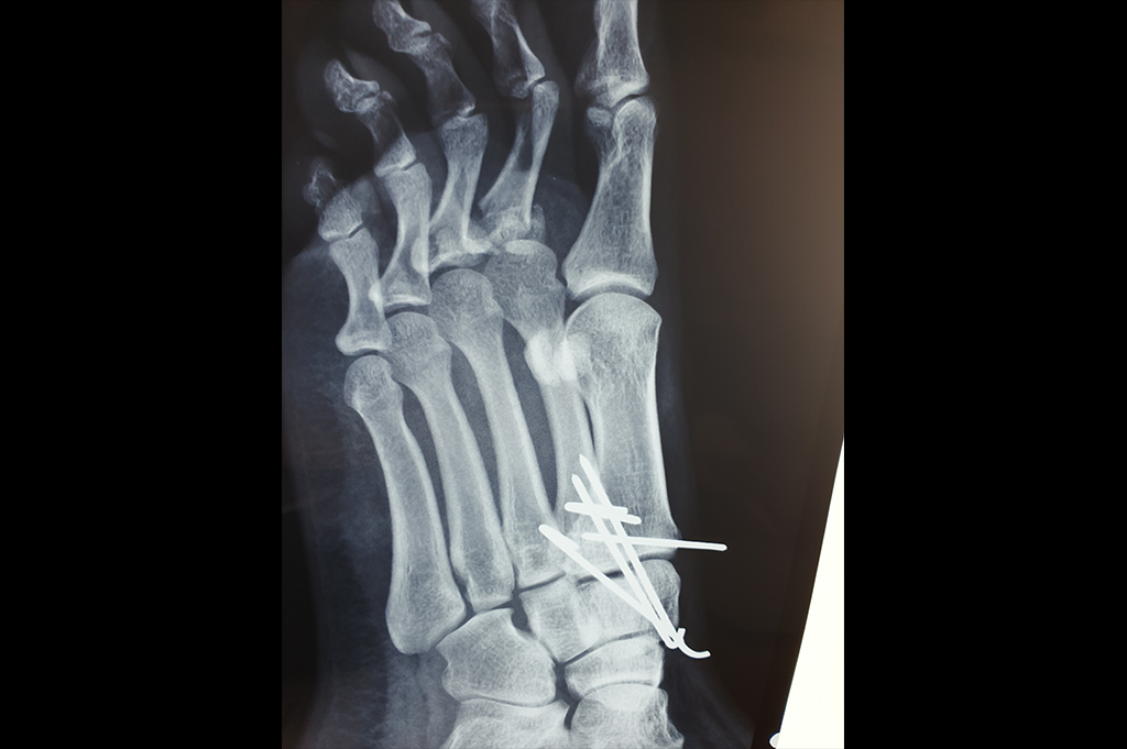
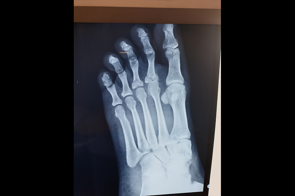
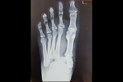
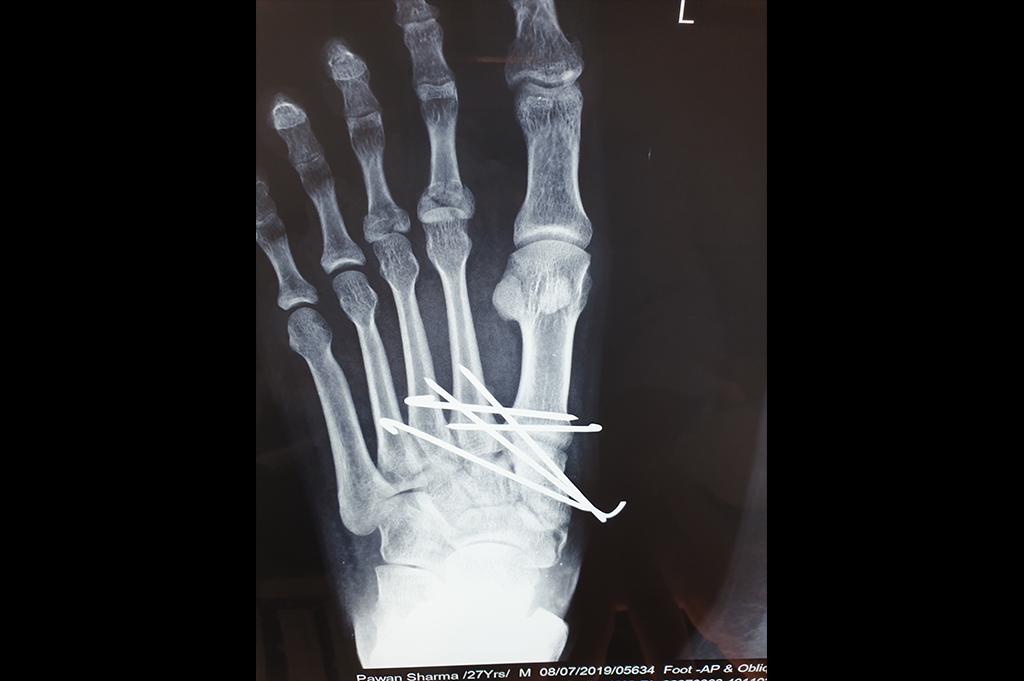
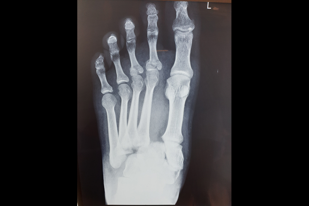
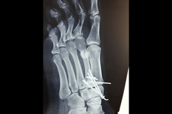
Metarsals with dislocations Lisfranc
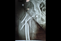
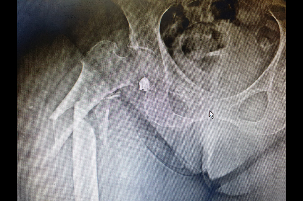
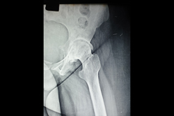
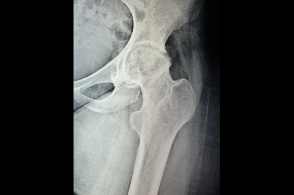
Neck Femur Fracture
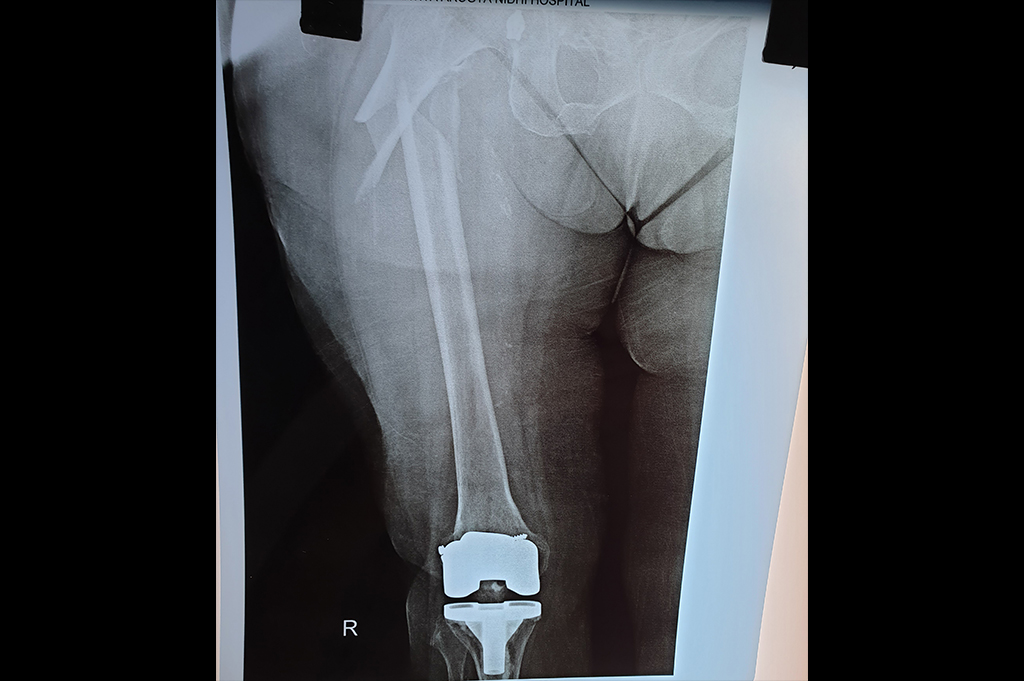
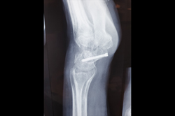
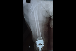
Periprosthetic Fracture THR
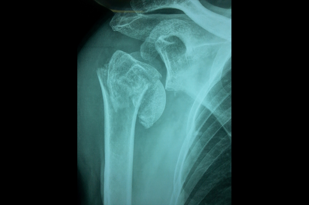
Proximal Humerus
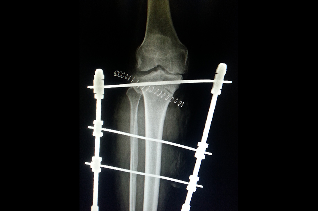
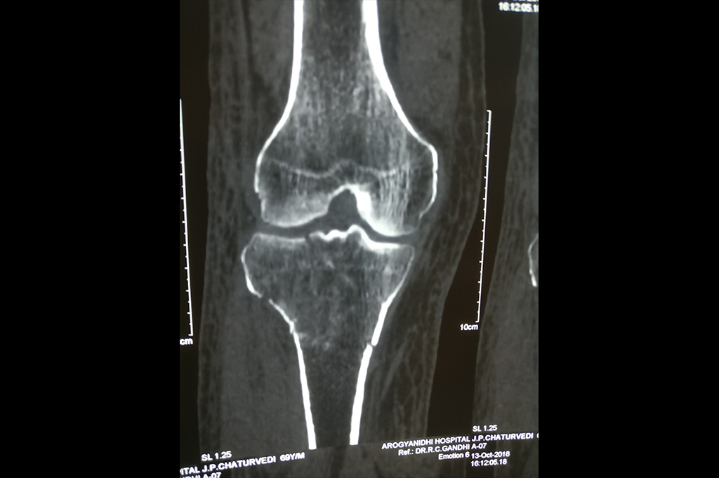
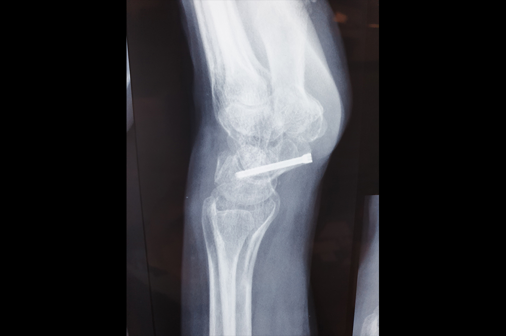
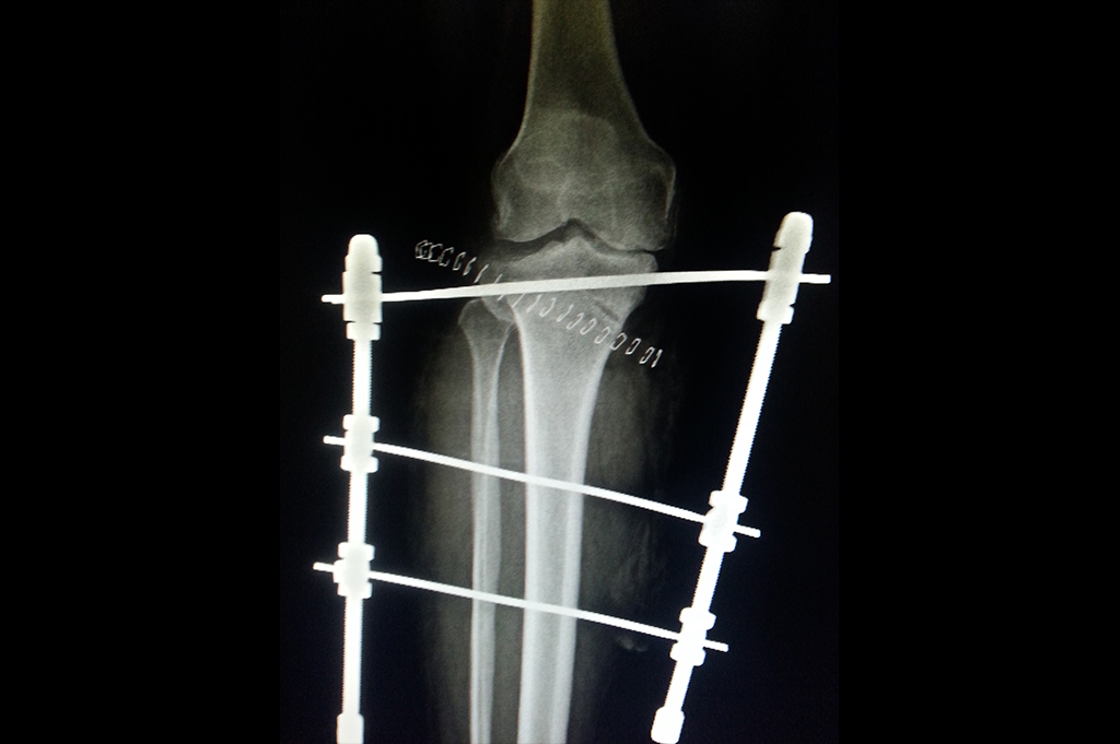
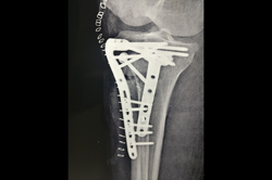
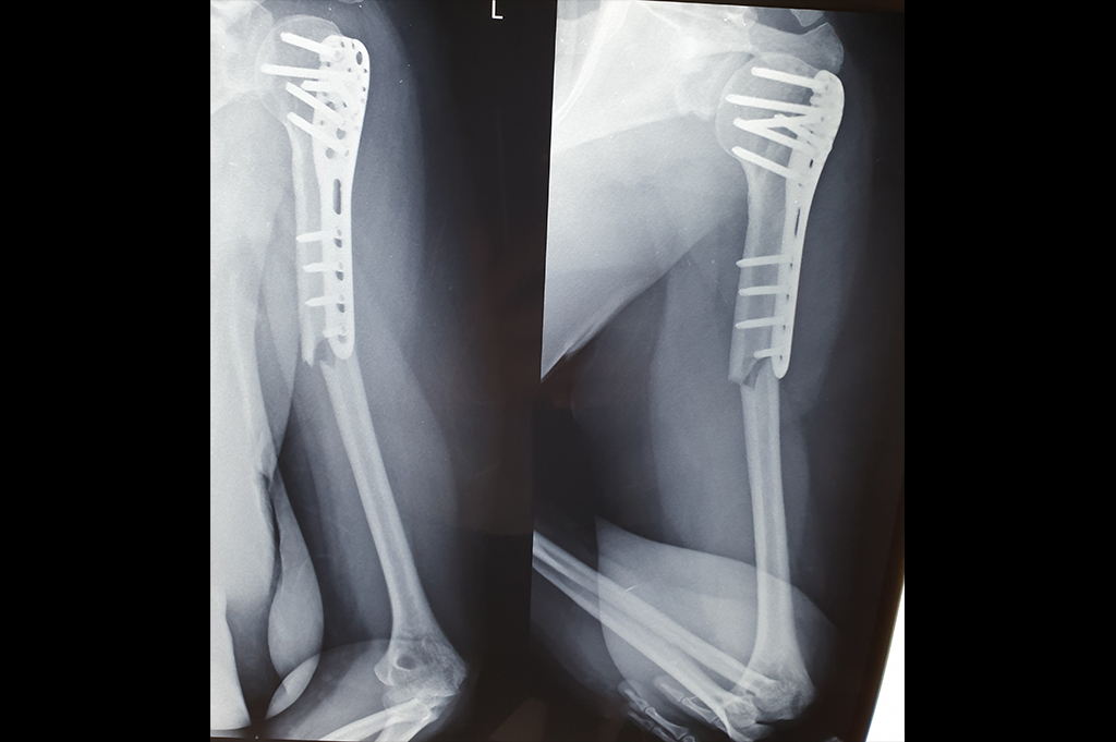
Proximal Tibia
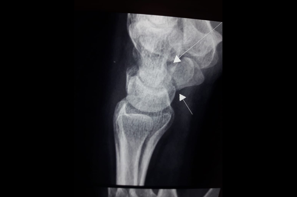
Scaphoid
Shoulder Replacement
Spine
Subtrochanteric Fracture
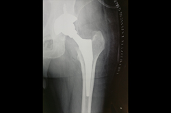
Total Hip Replacement - THR
Tibia Nailing
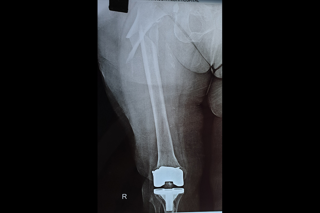
Total Knee Replacement - TKR
Arthroscopy - ACL Reconstruction, Maniscus Injury
Deformity Correction - Genu Valgum
Waterproof Cast